
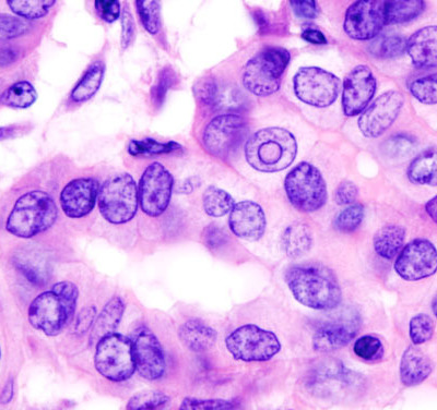
Сообщается о неочевидных признаках развития рака плазматических клеток
Среди неочевидных признаков миеломы, рака плазматических клеток, выделяются усталость, боль в костях, жажда и необъяснимые синяки. Миелома приводит к избыточному размножению плазматических клеток, их накоплению в костном мозге и повышению уровня иммуноглобулинов.
Симптомы могут включать боль в спине, усталость из-за дефицита эритроцитов, постоянную жажду из-за гиперкальциемии и другие проявления, такие как ухудшение зрения, синяки, кровоточивость десен и избыточные менструации. Обозначенные признаки могут помочь в раннем обнаружении миеломы, несмотря на её способность на начальных стадиях проявляться без симптомов, сообщает Газета.Ру.
Подписывайтесь на NewsInfo.Ru