Нога
Нога
Анастасия Белова Опубликована 07.11.2025 в 2:10

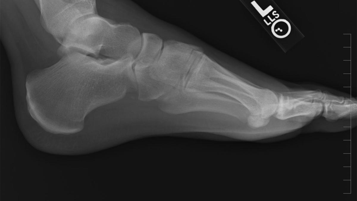
Думала, что просто растянула — но снимок показал другое: история, от которой мурашки

Стрессовые переломы стопы возникают у спортсменов из-за перегрузки при тренировках — врач Лиза Каллахан

Переломы усталости — это микротрещины в костной ткани, возникающие из-за чрезмерной нагрузки. На первый взгляд может показаться, что кость "сломалась сама по себе", ведь падений или ударов не было. Однако организм просто не успел восстановиться после слишком интенсивных тренировок.

По словам Лизы Каллахан, спортивного врача и со-директора Центра женской спортивной медицины при Госпитале специальной хирургии в Нью-Йорке, такие повреждения часто связаны с "тремя слишком":

"Слишком много, слишком быстро, слишком рано", — пояснила доктор Каллахан.

Что происходит с костью

Когда человек тренируется регулярно и умеренно, это укрепляет костную ткань: микронагрузки стимулируют рост и обновление клеток. Но если темп, длительность или вес нагрузки увеличиваются слишком резко, естественные процессы восстановления не успевают за разрушением. В результате появляются микротрещины — маленькие, но болезненные.

Чаще всего страдают стопы и голени, ведь именно они принимают на себя основной удар при беге и прыжках. Боль может быть ноющей, усиливаться к вечеру или при ходьбе. Иногда отёк появляется позже, когда повреждение уже значительное.

Советы шаг за шагом

  1. Отдых без бездействия. Полное обездвиживание не требуется — достаточно временно исключить вид активности, который спровоцировал проблему.

  2. Замените нагрузки. Плавание или езда на велотренажёре помогут сохранить форму, не нагружая больную ногу.

  3. Постепенно возвращайтесь. После восстановления увеличивайте объём тренировок по правилу 10 % — не добавляйте больше десятой части времени, дистанции или интенсивности за неделю.

  4. Следите за обувью. Старые кроссовки с потерявшей амортизацию подошвой усиливают риск микротравм.

Ошибка → Последствие → Альтернатива

  • Ошибка: резкий рост интенсивности тренировок.
    Последствие: микротрещины, боль, вынужденный перерыв.
    Альтернатива: постепенное увеличение нагрузки и использование фитнес-трекеров для контроля прогресса.

  • Ошибка: игнорирование боли в ногах.
    Последствие: переход микротрещины в полноценный перелом.
    Альтернатива: консультация ортопеда и диагностика с помощью рентгена или МРТ.

  • Ошибка: отказ от правильного питания.
    Последствие: дефицит кальция и витамина D, снижение плотности костей.
    Альтернатива: сбалансированное питание и витаминные комплексы по назначению врача.

А что если боль возвращается?

Если боль повторяется после периода отдыха, это сигнал для более глубокого обследования. Иногда причина кроется в скрытых заболеваниях: остеопении, нарушении обмена веществ или гормональном дисбалансе. В таких случаях врач может назначить дополнительные анализы и скорректировать лечение.

Плюсы и минусы активного восстановления

Плюсы:

  • поддержание физической формы без нагрузки на кость;

  • ускорение кровообращения и заживления;

  • улучшение психоэмоционального состояния.

Минусы:

  • длительное ограничение привычных тренировок;

  • необходимость строгого контроля боли и нагрузки;

  • возможные затраты на специализированное оборудование (велотренажёр, ортопедические стельки).

FAQ

Как выбрать обувь для тренировок?
Следите за амортизацией и поддержкой свода стопы. Спортивные магазины предлагают модели с учётом типа пронации.

Сколько стоит лечение стрессового перелома?
Консервативное лечение (диагностика, ортез, консультации) обойдётся в среднем от 5 000 до 20 000 рублей в зависимости от региона и клиники.

Что лучше — отдых или физиотерапия?
Оптимальный вариант — сочетание. Физиотерапия ускоряет заживление, а отдых предотвращает повторное повреждение.

Мифы и правда

  • Миф: стрессовые переломы случаются только у профессиональных спортсменов.
    Правда: ими часто страдают новички, решившие резко увеличить нагрузку.
  • Миф: боль пройдёт сама, если потерпеть.
    Правда: без лечения трещина может превратиться в полноценный перелом.
  • Миф: кости ломаются из-за слабого кальция.
    Правда: важен не только кальций, но и баланс витаминов D и K, а также регулярное, дозированное движение.

Сон и психология

Недостаток сна тормозит регенерацию костной ткани. В фазе глубокого сна организм активно вырабатывает гормон роста, который помогает клеткам восстанавливаться. Стресс и хроническая усталость, напротив, увеличивают риск травм, поэтому психологический комфорт важен не меньше физического восстановления.

Три интересных факта

  • Женщины чаще сталкиваются с переломами усталости из-за колебаний гормонального фона.

  • Риск повышается в период интенсивных диет и дефицита калорий.

  • У бегунов, которые меняют обувь каждые 600-800 км, микротрещины встречаются в два раза реже.

Исторический контекст

Первые случаи стрессовых переломов описали военные врачи ещё в XIX веке: солдаты жаловались на боли в ногах без явных травм. Тогда повреждение назвали "парадовым переломом". Позже понятие распространилось и на спортсменов — особенно после массового увлечения бегом в 1970-е годы.

Автор Анастасия Белова
Анастасия Белова — эксперт по адаптивной физкультуре (НГУ им. Лесгафта). Специалист по женскому здоровью и послеродовому восстановлению с 10-летним стажем.
Редактор Иван Петровский
Иван Петровский — журналист, корреспондент новостной службы Ньюсинфо

Подписывайтесь на NewsInfo.Ru

Читайте также

Боль — не показатель успеха: атлеты рискуют остановить рост мышц из-за распространённого мифа сегодня в 13:45

Мифы о болях в мышцах тормозят прогресс: важно понимать, что здоровье важнее дискомфорта.

Читать полностью »
Зимний живот уходит в историю: прогрессивная система за месяц превращает талию в стальной рельеф сегодня в 9:56

Многие безуспешно пытаются качать пресс годами, но допускают критические ошибки в системе нагрузок. Узнайте, как включить глубокие мышцы за четыре недели.

Читать полностью »
Метаболизм проснулся и начал жадно есть: эти нагрузки разгоняют сжигание жира даже во сне сегодня в 0:54

Многие тратят часы на тренажерах без видимого эффекта, не подозревая о существовании более мощного способа перестройки организма и ускорения обмена веществ.

Читать полностью »
Скованность как признак — беда от сутулости, которая скрыто угрожает всему вашему здоровью вчера в 19:25

Проблемы с сутулостью могут подстерегать с детства: откройте для себя важные советы по борьбе с болями.

Читать полностью »
Плавание как лекарство от недугов: как каждый гребок обретает силу и меняет ваше тело навсегда вчера в 17:21

Новое открытие в мире фитнеса: как плавание может не только освежить, но и кардинально изменить тело.

Читать полностью »
Живот словно в тисках: древняя последовательность движений возвращает легкость органам за минуты вчера в 15:19

Биохимия тела откликается на простые наклоны и скрутки, запуская ферменты и ускоряя моторику кишечника. Узнайте, как древние позы влияют на работу печени.

Читать полностью »
Легальный допинг в наушниках: правильный ритм снижает чувство усталости на целую пятую часть вчера в 13:15

Зачем музыка важна во время занятий спортом? Чтение о влиянии мелодий на физическую активность и результаты.

Читать полностью »
Мячи в действии: откройте секреты самомассажа, который улучшит общее состояние ваших мышц 11.03.2026 в 19:29

Неприятные боли после тренировок могут быть устранены с помощью простых приемов самомассажа.

Читать полностью »